受け口
受け口の症例
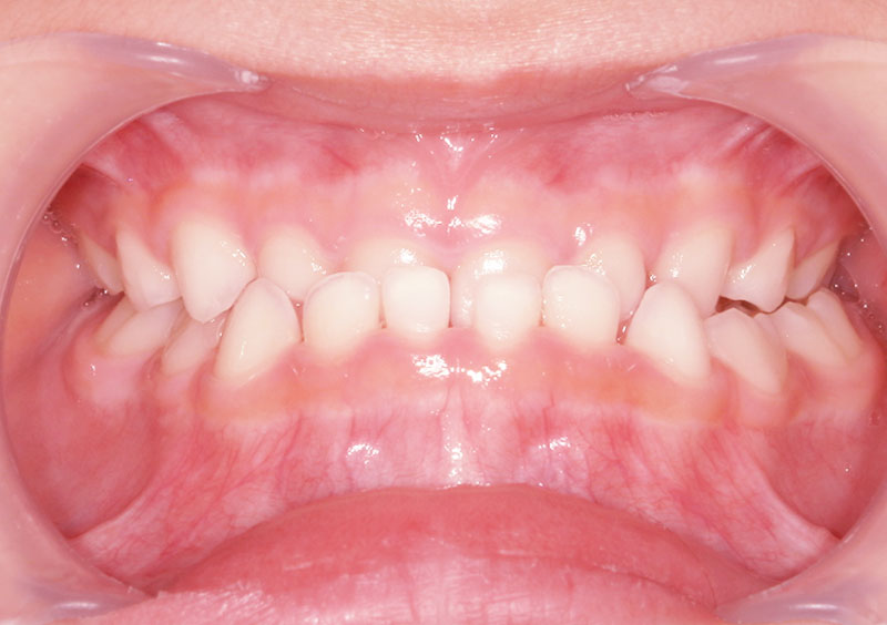
症例01
治療前

治療中

治療後

主訴 | かみ合わせ、滑舌が悪い |
---|---|
治療期間 | 8ヶ月 |
治療費 | ¥54,000(税込) |
治療内容 | ムーシールド使用。 |
治療のリスク | 祖父が反対咬合とのことで 遺伝的な要素があった。 永久歯に生え変わる際に 再度反対咬合になるリスクもあったが、 装置とトレーニングで回避できた。 |
症例02
治療前

治療中

治療後

主訴 | 受け口が気になる。 |
---|---|
治療期間 | 5ヶ月 |
治療費 | ¥33,000(税込) |
治療内容 | プレオルソタイプⅢ使用。 |
治療のリスク | 父が反対咬合で、前歯はすでに 永久歯に生え変わっている状態での 治療開始となった。 開始時期が遅く改善が困難かと 予測したが、装置をしっかりと使用して いただくことで改善できた。 |
症例03
治療前

治療中

治療後

主訴 | 反対咬合で下の前歯もガタガタ。 |
---|---|
治療期間 | 4年間 |
治療費 | ¥263,200(税込) |
治療内容 | 上下床矯正装置とパナシールド使用。 |
治療のリスク | 反対咬合と叢生の不正咬合が複合している 状態。改善の順番がポイントとなる症例 で、タイミングを誤ると反対咬合が ひどくなるリスクがあった。 適切な指導と患者さんの努力、 保護者の協力で改善できた。 |
症例04
治療前

治療中

治療後

主訴 | 受け口が気になる。 |
---|---|
治療期間 | 8ヶ月 |
治療費 | ¥33,000(税込) |
治療内容 | ムーシールド使用。 |
治療のリスク | 永久歯に交換する際に再度反対咬合になる リスクがある。注意して経過観察中。 |