口が閉じない
開咬の症例
症例01
治療前

治療中

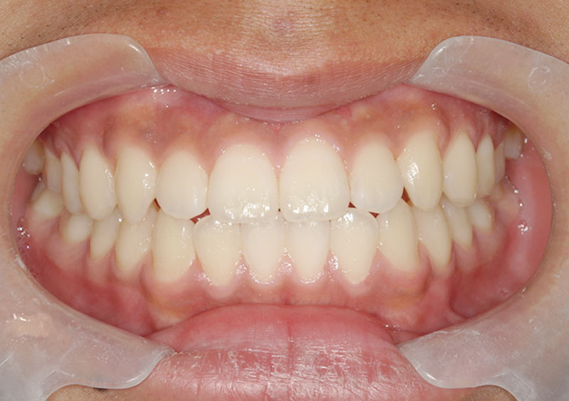
治療後

主訴 | 前歯が傾いている。今後が不安。 |
---|---|
治療期間 | 12年間 |
治療費 | ¥409,800(税込) |
治療内容 | 上下顎に床矯正装置をそれぞれ2種類 使用。 開咬改善のため、ブラケット装着、 ゴムを利用して開咬改善。 マウスピースにて保定中。 トレーニングは継続。 |
治療のリスク | 叢生と舌の癖(舌突出癖)による開咬が ある複雑な症例。 舌の癖(舌突出癖)により開口の改善に 時間がかかった。 時間がかかることで患者さん自身の治療 意欲が低下するリスクがあったが、 うまくフォローできた。 ブラケット治療は、清掃の困難さから むし歯のリスクがあるが、丁寧に磨いて いただき問題なかった。 |
症例02
治療前

治療中

治療後

主訴 | 学校検診で噛み合わせをチェックされた。 |
---|---|
治療期間 | 1年間 |
治療費 | ¥616,000(税込) |
治療内容 | 上下顎インビザライン使用。 追加アライナーを1回行った。 (追加アライナーの費用はありません) |
治療のリスク | 舌の癖(舌突出癖)があり、夜間は 口呼吸もある。 後戻りのリスクが高いため、口唇閉鎖力や 舌の挙上力をトレーニングにより 改善させる必要がある。 |