深い噛み合わせ
過蓋咬合の症例
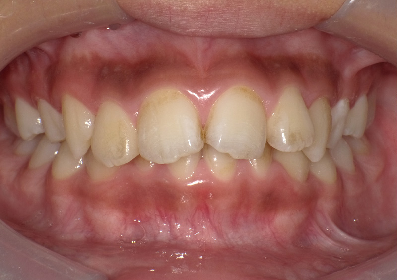
症例01
治療前

治療中

治療後

主訴 | 歯並びをきれいにしたい |
---|---|
治療期間 | 6年間 |
治療費 | ¥285,000(税込) |
治療内容 | 上下顎に床矯正装置を それぞれ2種類使用。 下顎のみ再度装置を使用し、 合計5装置使用した。 |
治療のリスク | 口唇閉鎖不全(お口ぽかん)があり、下顎後退が顕著で顎関節症のリスクもあった。 トレーニングにより顎関節の症状がでることはなく治療を進めることができた。 |
症例02
治療前

治療中

治療後

主訴 | かみ合わせが深く、上の前歯が出ている |
---|---|
治療期間 | 2年間 |
治療費 | ¥255,600(税込) |
治療内容 | 上下顎に床矯正装置を それぞれ2種類使用。 |
治療のリスク | 口唇閉鎖不全(お口ぽかん)と下唇を噛む癖があり改善に苦慮する可能性があったが、装置を装着することで唇を噛むことはなくなり改善できた。 |
症例03
治療前

治療中

治療後

主訴 | かみ合わせが気になる |
---|---|
治療期間 | 8ヶ月 |
治療費 | ¥616,000(税込) |
治療内容 | 上下インビザライン使用、 1回の追加アライナーを使用。 (追加アライナーの費用はありません) |
治療のリスク | 下顎智歯(親知らず)が生えてくることでアライナーが不適合になるリスクがあったが、改善が間に合った。 改善後、智歯は抜歯し経過は安定している。 |