デコボコ
デコボコの症例
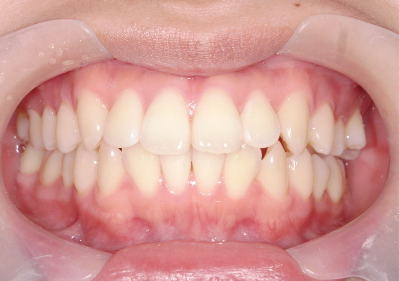
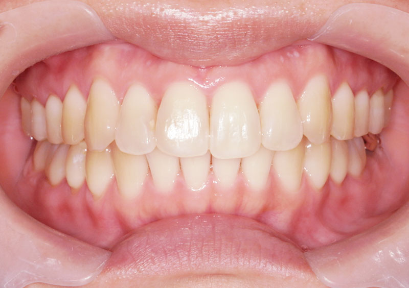
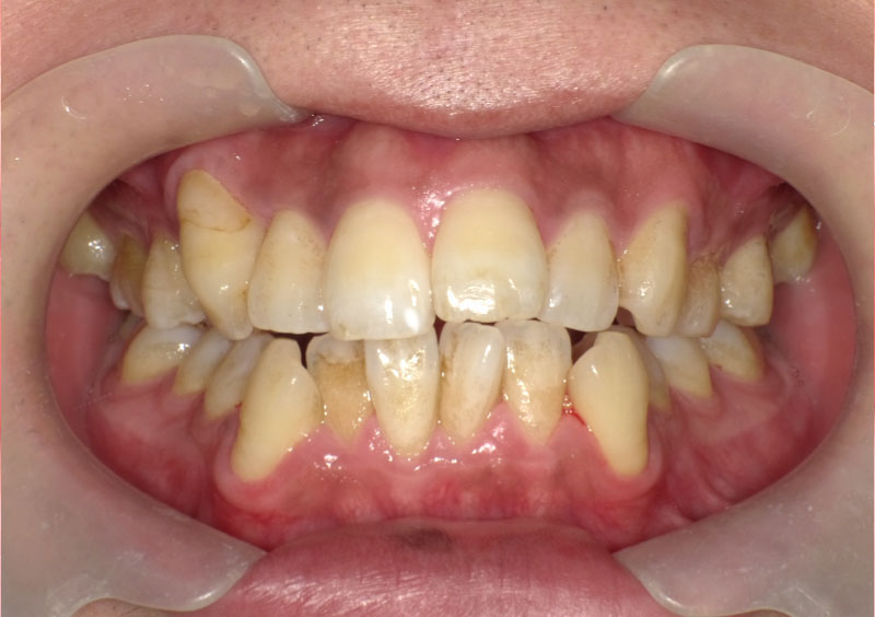
症例01
治療前

治療中

治療後

主訴 | 上の前歯が昔から気になっていた。 |
---|---|
治療期間 | 1年間 |
治療費 | ¥126,000(税込) |
治療内容 | 上顎床矯正装置を2装置使用。 |
治療のリスク | 上下の前歯に叢生が認められたが、 治療希望は上顎のみ。 かみ合わせが不安定になるリスクが あったが、治療後に下顎も改善した。 |
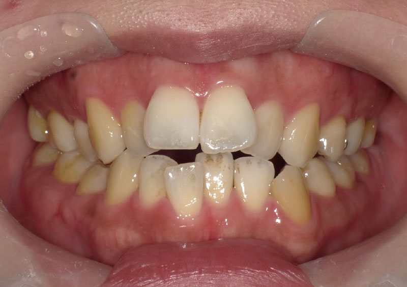
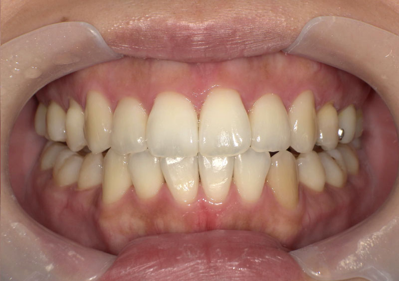
症例02
治療前

治療中

治療後

主訴 | 前歯がガタガタ、 スペース不足で今後が不安。 |
---|---|
治療期間 | 2年間 |
治療費 | ¥190,000(税込) |
治療内容 | 上下顎に床矯正装置を使用。 上顎のみ、装置を追加し、 合計3装置使用。 |
治療のリスク | 小学校低学年での治療開始であり、 装置の使用、管理にリスクがあったが 本人、家族の協力もあり予定期間での 改善が得られた。 |
症例03
治療前

治療中

治療後

主訴 | 上の前歯の隙間、噛み合わせが悪い。 |
---|---|
治療期間 | 2年間 |
治療費 | ¥65,000(税込) |
治療内容 | 上顎に床矯正装置を1装置使用。 |
治療のリスク | 口唇閉鎖力が弱く、 装置だけでは改善が困難。 ワイヤーの調整量を過剰にすると 歯に痛みを感じてしまうため、 調整を繰り返す必要がある。 |
症例04
治療前

治療中

治療後

主訴 | 出っ歯と前歯がガタガタ。 |
---|---|
治療期間 | 1年6ヶ月 |
治療費 | ¥194,400(税込) |
治療内容 | 上下顎に床矯正装置を使用、 その後下のみ1装置追加。 |
治療のリスク | すでに犬歯が生えている状態での 床矯正治療開始となり、 治療の進み方によってはブラケット治療が 必要になる可能性があったが、 順調に進み、床矯正のみで対応できた。 |
症例05
治療前

治療中

治療後

主訴 | 上下前歯のガタガタが気になる。 |
---|---|
治療期間 | 2年6ヶ月 |
治療費 | ¥388,800(税込) |
治療内容 | 上下顎に床矯正装置を使用、 その後上下ブラケット装着。 |
治療のリスク | ブラケット治療期間の清掃性リスクが あったが、適切にセルフケア指導を させていただき、ご本人の晩張りもあり、 う蝕や歯肉炎が発症することなく 治療完了できた。 |
症例06
治療前

治療中

治療後

主訴 | 永久歯の生える場所が足りない。 |
---|---|
治療期間 | 3年間 |
治療費 | ¥259,200(税込) |
治療内容 | 上下顎に床矯正装置を それぞれ2種類使用。 |
治療のリスク | 上の前歯の生え始めた場所が かなりズレていたが、 トレーニングの効果もありブラケットは 使用しなくても理想的な位置に 移動できた。 |
症例07
治療前

治療中

治療後

主訴 | 全体のガタガタ、特に前歯が気になる。 |
---|---|
治療期間 | 4年間 |
治療費 | ¥286,000(税込) |
治療内容 | 上下顎に床矯正装着後、ブラケット装着、 上顎のみ小臼歯左右1歯ずつ抜歯した。 |
治療のリスク | 歯そのものの大きさがあり、 当初は非抜歯で治療を進めたが、 口元の改善希望があり抜歯を追加した。 ブラケット期間が長くなりう蝕や歯肉炎の リスクがあったが適切に管理できた。 |
症例08
治療前

治療中

治療後

主訴 | 上の前歯をきれいにしたい。 |
---|---|
治療期間 | 2年間 |
治療費 | ¥616,000(税込) |
治療内容 | 上下顎のインビザライン治療を実施。 4回の追加アライナーを用いて理想に 近づけた。 (追加アライナーの費用はありません) |
治療のリスク | 矯正に際して、智歯(親知らず)抜歯の 必要があり、抜歯に伴うリスクもあったが 経過に問題はなかった。 前歯のねじれが強くマウスピース単独での 治療にはリスクがあったが、細かく装置を 追加することで回避できた。 |